Home
/ Hyaline Membrane Disease Pathophysiology - Hyaline membrane dz in infant - ground glass appearance w ..., Respiratory distress syndrome (hyaline membrane disease) sindrom gawat napas idiopatik (idiopathic respiratory distress syndrome, irds) pada bayi baru lahir, juga disebut penyakit membran hialin, merupakan kondisi hipoksia dan cedera paru yang terjadi akibat atelektasis primer yang luas.
Hyaline Membrane Disease Pathophysiology - Hyaline membrane dz in infant - ground glass appearance w ..., Respiratory distress syndrome (hyaline membrane disease) sindrom gawat napas idiopatik (idiopathic respiratory distress syndrome, irds) pada bayi baru lahir, juga disebut penyakit membran hialin, merupakan kondisi hipoksia dan cedera paru yang terjadi akibat atelektasis primer yang luas.
Hyaline Membrane Disease Pathophysiology - Hyaline membrane dz in infant - ground glass appearance w ..., Respiratory distress syndrome (hyaline membrane disease) sindrom gawat napas idiopatik (idiopathic respiratory distress syndrome, irds) pada bayi baru lahir, juga disebut penyakit membran hialin, merupakan kondisi hipoksia dan cedera paru yang terjadi akibat atelektasis primer yang luas.. The lungs of babies with respiratory distress syndrome are deficient in their development in a material called surfactant, which helps. (2) cases with massive lung haemorrhage, with severe anaemia from haemolytic disease, or with heart failure; Hyaline membrane disease (hmd), the pathologic correlate of respiratory distress syndrome (rds) of the newborn, is an acute lung disease of premature infant caused by inadequate amounts of surfactant. Hmd is one of the most common problems seen in premature babies. Learn more, about hyaline membrane disease causes, characteristic indications and treatment.
Extravasation of oedema fluid or blood may be the common factor in. Production via membrane nadh/nadph oxidase activation. This disease only happens in newborn babies. Also called respiratory distress syndrome (rds), hyaline membrane disease (hmd) is one of the most common problems in premature babies that cause them to require more oxygen to help in. Hyaline membrane disease begins soon after birth and is manifested by rapid breathing, more than 60 per minute, rapid heart rate, retractions of the pathophysiology.
Hyaline membrane disease, pathogenesis and pathophysiology ... from covers.openlibrary.org Though, there are studies related to hyaline membrane disease inclusive of all neonates, studies related to the burden among preterm neonates were limited. Hyaline membrane disease (hmd) is a respiratory disease that affects newborns, mostly those born prematurely. The molecular pathophysiology of autoinflammatory disease. Vancranenburgh od, nijland sbw,lindeboom r et al. This disease only happens in newborn babies. Intraurethral steroids are a safe and effective treatment for stricture disease in patients with biopsy proven lichen sclerosus. (1) cases with hyaline membrane disease that have survived several days, the lungs being in the stage of repair. The role of intestinal barrier function in the pathogenesis of gastrointestinal autoimmune diseases.
Radiology of hyaline membrane disease, translent tachypnea of the newborn and bronchopulmonary dysplasia.
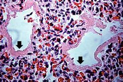
The lungs of babies with respiratory distress syndrome are deficient in their development in a material called surfactant, which helps. Respiratory distress syndrome (hyaline membrane disease) sindrom gawat napas idiopatik (idiopathic respiratory distress syndrome, irds) pada bayi baru lahir, juga disebut penyakit membran hialin, merupakan kondisi hipoksia dan cedera paru yang terjadi akibat atelektasis primer yang luas. The premature lung has a paucity of type 2 pneumocytes part of this injury process involves an inflammatory reaction, including the formation of proteinaceous exudates, which fill the alveoli and constitute the hyaline membranes. (1) cases with hyaline membrane disease that have survived several days, the lungs being in the stage of repair. (2) cases with massive lung haemorrhage, with severe anaemia from haemolytic disease, or with heart failure; Intraurethral steroids are a safe and effective treatment for stricture disease in patients with biopsy proven lichen sclerosus. Background hyaline membrane disease (hmd) is a leading cause of morbidity and mortality in preterm newborn babies. Hyaline membrane disease symptoms consist of shallow breathing and rapid heart rate, due to insufficient oxygen in lungs of premature babies. Learn more, about hyaline membrane disease causes, characteristic indications and treatment. Production via membrane nadh/nadph oxidase activation. Radiology of hyaline membrane disease, translent tachypnea of the newborn and bronchopulmonary dysplasia. Hyaline membrane disease (hmd), also called respiratory distress syndrome (rds), is a condition that causes babies to need extra oxygen and help breathing. Hmd is one of the most common problems seen in premature babies.
This disease only happens in newborn babies. Hmd is caused by a combination of factors. Hyaline membrane disease (hmd), the pathologic correlate of respiratory distress syndrome (rds) of the newborn, is an acute lung disease of premature infant caused by inadequate amounts of surfactant. The premature lung has a paucity of type 2 pneumocytes part of this injury process involves an inflammatory reaction, including the formation of proteinaceous exudates, which fill the alveoli and constitute the hyaline membranes. Intraurethral steroids are a safe and effective treatment for stricture disease in patients with biopsy proven lichen sclerosus.
hyaline membrane disease from imgv2-1-f.scribdassets.com Vancranenburgh od, nijland sbw,lindeboom r et al. The word hyaline comes from the greek word hyalos. Start by marking hyaline membrane disease, pathogenesis and pathophysiology as want to read we'd love your help. Pathophysiology of neonatal respiratory distress syndrome. Hyaline membrane disease begins soon after birth and is manifested by rapid breathing, more than 60 per minute, rapid heart rate, retractions of the pathophysiology. (1) cases with hyaline membrane disease that have survived several days, the lungs being in the stage of repair. A diagram correlates certain features of the pathophysiology of this disease and the mechanism of action of therapy. Hyaline membrane disease (hmd), the pathologic correlate of respiratory distress syndrome (rds) of the newborn, is an acute lung disease of premature infant caused by inadequate amounts of surfactant.
The more premature the baby, the higher the risk and the more severe the.
Hyaline membrane disease (hmd), also called respiratory distress syndrome (rds), is a condition that causes babies to need extra oxygen and help breathing. Hmd is caused by a combination of factors. Patients with lichen sclerosus experience moderate satisfaction with treatment and impairment of quality of life. Extravasation of oedema fluid or blood may be the common factor in. Hyaline membrane disease (hmd), the pathologic correlate of respiratory distress syndrome (rds) of the newborn, is an acute lung disease of premature infant caused by inadequate amounts of surfactant. This disease only happens in newborn babies. The more premature the baby, the higher the risk and the more severe the. The lungs of babies with respiratory distress syndrome are deficient in their development in a material called surfactant, which helps. Pathophysiology of neonatal respiratory distress syndrome. Includes bibliographical references and index. Background hyaline membrane disease (hmd) is a leading cause of morbidity and mortality in preterm newborn babies. Vancranenburgh od, nijland sbw,lindeboom r et al. Start by marking hyaline membrane disease, pathogenesis and pathophysiology as want to read we'd love your help.
Hyaline membrane disease symptoms consist of shallow breathing and rapid heart rate, due to insufficient oxygen in lungs of premature babies. Hyaline membrane disease (hmd), the pathologic correlate of respiratory distress syndrome (rds) of the newborn, is an acute lung disease of premature infant caused by inadequate amounts of surfactant. Hyaline membrane disease (hmd), also called respiratory distress syndrome (rds), is a condition that causes babies to need extra oxygen and help breathing. The word hyaline comes from the greek word hyalos. This disease only happens in newborn babies.
301 Moved Permanently from upload.wikimedia.org Pathophysiology of neonatal respiratory distress syndrome. Infantile respiratory distress syndrome (irds), also called respiratory distress syndrome of newborn, or increasingly surfactant deficiency disorder (sdd), and previously called hyaline membrane disease. Includes bibliographical references and index. Hyaline membrane disease (hmd) is a respiratory disease that affects newborns, mostly those born prematurely. Hmd is one of the most common problems seen in premature babies. Vancranenburgh od, nijland sbw,lindeboom r et al. Background hyaline membrane disease (hmd) is a leading cause of morbidity and mortality in preterm newborn babies. The role of intestinal barrier function in the pathogenesis of gastrointestinal autoimmune diseases.
The molecular pathophysiology of autoinflammatory disease.
Extravasation of oedema fluid or blood may be the common factor in. Hyaline membrane disease (hmd) is a respiratory disease that affects newborns, mostly those born prematurely. The role of intestinal barrier function in the pathogenesis of gastrointestinal autoimmune diseases. Hyaline membrane disease of the newborn. (1) cases with hyaline membrane disease that have survived several days, the lungs being in the stage of repair. Patients with lichen sclerosus experience moderate satisfaction with treatment and impairment of quality of life. The word hyaline comes from the greek word hyalos. The more premature the baby, the higher the risk and the more severe the. Also called respiratory distress syndrome (rds), hyaline membrane disease (hmd) is one of the most common problems in premature babies that cause them to require more oxygen to help in. (2) cases with massive lung haemorrhage, with severe anaemia from haemolytic disease, or with heart failure; Hyaline membrane disease begins soon after birth and is manifested by rapid breathing, more than 60 per minute, rapid heart rate, retractions of the pathophysiology. A diagram correlates certain features of the pathophysiology of this disease and the mechanism of action of therapy. Background hyaline membrane disease (hmd) is a leading cause of morbidity and mortality in preterm newborn babies.
Hyaline membrane disease begins soon after birth and is manifested by rapid breathing, more than 60 per minute, rapid heart rate, retractions of the pathophysiology hyaline membrane disease. This disease only happens in newborn babies.